Human PD1 Protein (C-Fc-Avi)

Product Details


ApplicationELISA, BLI
FormatLiquid, Purified
Expression HostHEK293
Target NamePD1, PDCD1, CD279, SLEB2
SpeciesHuman
SourcesHuman PD-1 protein (NP_005009.2) (Leu25-Gln167) with C-terminus Fc-Avi tag is expressed in HEK293 cells
Accession NumberQ15116
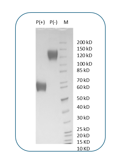
Molecular WeightThe protein has a predicted molecular weight of 44 kDa. Under DTT-reducing conditions, it migrates at approximately 60 kDa on SDS-PAGE.
Affinity TagC-Fc-Avi
Purity>95% based on SDS-PAGE under reducing condition
Regulatory StatusRUO
Formulation1xPBS buffer, pH7.4, 0.22 µm filtered
Endotoxin levelNot tested
Protein Concentration25µg size is bottled at 0.2mg/mL concentration. 100 µg size is supplied at a lot-specific concentration.
Storage and HandlingBriefly centrifuge the vial upon receipt. An unopened vial can be stored at 4°C for up to 2 weeks, or at -20°C or below for up to six months. The protein may be further diluted to 0.1 mg/mL using 0.22 µm-filtered PBS buffer (pH 7.4). For long-term storage, the diluted stock solution should be aliquoted and stored at ≤ –70°C to minimize freeze-thaw cycles. If additional dilution is required, carrier proteins such as FBS or BSA should be added to maintain protein stability.

Background Information


Programmed Death-1 receptor (PD-1, also known as CD279) is a type I transmembrane protein and an immunoregulatory receptor of the CD28/CTLA-4 family. It is expressed on activated T cells, B cells, monocytes, dendritic cells, and some thymocytes. PD-1 binds to ligands PD-L1 and PD-L2, transmitting co-inhibitory signals that suppress T-cell activation, proliferation, cytokine production, and cytotoxic activity by dephosphorylating key signaling molecules. This mechanism promotes immune tolerance and prevents autoimmunity but is exploited by tumors to evade immune surveillance, as many tumors upregulate PD-L1. When tumor-expressed PD-L1 engages PD-1 on immune cells, it blocks T-cell activation and promotes immune exhaustion. Monoclonal antibodies targeting the PD-1/PD-L1 pathway have revolutionized cancer therapy by releasing this immune brake, enhancing anti-tumor immunity and leading to tumor regression in many cancers. Examples include nivolumab and pembrolizumab. This immunotherapy approach is now a major focus in oncology, offering a powerful tool to boost the immune system against cancer and reshape treatment paradigms.

Data Sheets


Human PD1 Protein (C-Fc-Avi) TDS