Human CD200R1 (C-His)

Product Details


ApplicationELISA, BLI
FormatLiquid, Purified
Expression HostCHO
Target NameCD200R, CRTR2, MOX2R, OX2R
SpeciesHuman
SourcesRecombinant Human CD200R1 (Ala27-Leu266) with C-terminus His-tag is expressed in CHO cell.
Accession NumberQ8TD46
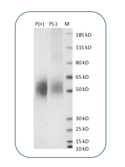
Molecular WeightThe protein has a predicted molecular weight of 28.3 kDa. Under DTT-reducing conditions, it migrates at approximately 45-60 kDa on SDS-PAGE.
Affinity TagC-His
Purity>95% based on SDS-PAGE under reducing condition
Regulatory StatusRUO
Formulation1xPBS buffer, pH7.4, 0.22 µm filtered
Endotoxin levelNot tested
Protein Concentration25µg size is bottled at 0.2mg/mL concentration. 100 µg size is supplied at a lot-specific concentration.
Storage and HandlingBriefly centrifuge the vial upon receipt. An unopened vial can be stored at 4°C for up to 2 weeks, or at -20°C or below for up to six months. The protein may be further diluted to 0.1 mg/mL using 0.22 µm-filtered PBS buffer (pH 7.4). For long-term storage, the diluted stock solution should be aliquoted and stored at ≤ –70°C to minimize freeze-thaw cycles. If additional dilution is required, carrier proteins such as FBS or BSA should be added to maintain protein stability.

Background Information


The cluster of differentiation (CD) system is essential for immunophenotyping, with over 320 unique CD molecules and subclusters identified to date. These CD molecules play various roles in immune cells, either acting as receptors or ligands to initiate signaling cascades that alter cell behavior, or serving non-signaling functions like cell adhesion. CD200 receptor 1 (CD200R1), an isoform of CD200 receptors, is a cell surface glycoprotein expressed on myeloid lineage cells. It serves as a receptor for the OX-2 membrane glycoprotein, and the interaction between CD200R1 and OX-2 functions as a downregulatory signal for myeloid cells, playing a role in immune regulation.

Data Sheets


Human CD200R1 (C-His) TDS