Human IgG1-Fc with multiple tags

Product Details


ApplicationELISA
FormatLiquid, Purified
Expression HostHEK293
Target NameHuman IgG1-Fc with multiple tags (hIgG1-Fc-Myc-Avi-V5-DYKDDDDK-HA-His)
SpeciesHuman
Accession NumberP01857
SourcesHuman IgG1-Fc (Thr106-Lys330) protein with multiple tags (Myc-Avi-V5-FLAG-HA-His) at C-terminus is expressed in HEK293 cells.
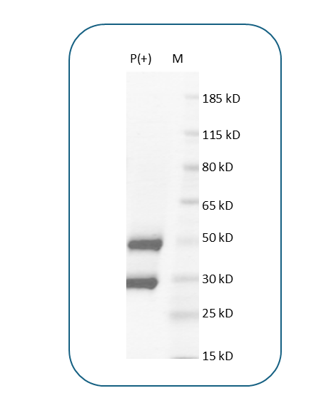
Molecular WeightThis protein has a predicted molecular weight of 35.8 kDa. Under DTT-reducing conditions, the protein migrates at approximately 40 kDa on SDS-PAGE. The smaller band below 30 kDa might correspond to the early translational termination product.
Affinity TagC-Myc-Avi-V5-DYKDDDDK-HA-His
Purity>85% based on SDS-PAGE under reducing condition
Regulatory StatusRUO
Formulation1xPBS with 0.09% NaN3 buffer, pH7.4, 0.22 µm filtered
Endotoxin levelNot tested
Protein Concentration25µg size is bottled at 0.2mg/mL concentration. 100 µg size is supplied at a lot-specific concentration.
Storage and HandlingBriefly centrifuge the vial upon receipt. An unopened vial can be stored at 4°C for up to 2 weeks, or at -20°C or below for up to six months. The protein may be further diluted to 0.1 mg/mL using 0.22 µm-filtered PBS buffer (pH 7.4). For long-term storage, the diluted stock solution should be aliquoted and stored at ≤ –70°C to minimize freeze-thaw cycles. If additional dilution is required, carrier proteins such as FBS or BSA should be added to maintain protein stability.

Background Information


Fc fragments consist of the carboxy-terminal halves of both immunoglobulin heavy chains connected by disulfide bonds, forming the constant region responsible for antibody effector functions. These functions include complement fixation, binding to Fc receptors on immune cells (such as CD16, CD32, and CD64), and mediating placental transport of antibodies. The Fc region plays a critical role in immune defense by triggering processes like opsonization, antibody-dependent cellular cytotoxicity (ADCC), and inflammation. Additionally, proteins like Protein A and Protein G, found on certain bacteria, specifically bind to the Fc region and are widely used in biotechnology for antibody purification. Recombinant Fc fragments also have potential therapeutic applications as anti-inflammatory agents in autoimmune diseases.

Data Sheets


Human IgG1-Fc with multiple tags TDS