Human CD64 Protein (C-His-Avi)

Product Details


ApplicationELISA, BLI
FormatLiquid, Purified
Expression HostCHO
Target NameCD64, FCGR1A, FCG1, FCGR1, IGFR1
SpeciesHuman
SourcesHuman CD64 protein (Accession Number P12314) (Gln16-Thr287) with C-terminus His tag and Avi tag is expressed in CHO cells.
Accession NumberP12314
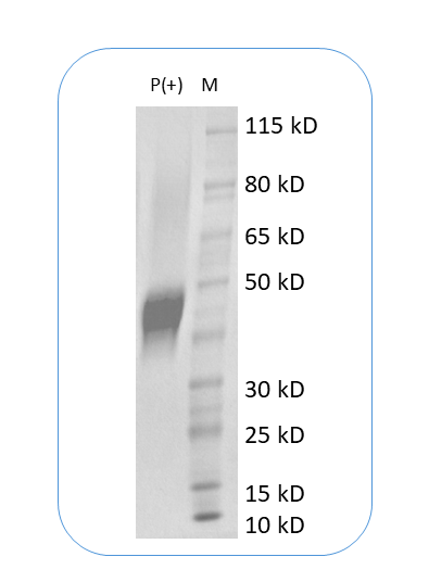
Molecular WeightThe 307 amino acid protein has a predicted molecular weight of 34.2kDa. The protein migrates at approximately 50-60 kDa on SDS-PAGE with DTT-reduced conditions.
Affinity TagC-His-Avi
Purity>85% based on SDS-PAGE under reducing condition
Regulatory StatusRUO
Formulation1xPBS buffer, pH7.4, 0.22 µm filtered
Endotoxin levelNot tested
Protein Concentration25µg size is bottled at 0.2mg/mL concentration. 100 µg size is supplied at a lot-specific concentration.
Storage and HandlingBriefly centrifuge the vial upon receipt. An unopened vial can be stored at 4°C for up to 2 weeks, or at -20°C or below for up to six months. The protein may be further diluted to 0.1 mg/mL using 0.22 µm-filtered PBS buffer (pH 7.4). For long-term storage, the diluted stock solution should be aliquoted and stored at ≤ –70°C to minimize freeze-thaw cycles. If additional dilution is required, carrier proteins such as FBS or BSA should be added to maintain protein stability.

Background Information


CD64, also known as FcγRI or FcR I, is a 72 kDa type I glycoprotein and a member of the immunoglobulin superfamily. This high-affinity IgG Fc receptor is predominantly expressed on monocytes, macrophages, dendritic cells, and activated granulocytes. Its expression can be upregulated by IFN-γ stimulation, enhancing its role in immune responses. CD64 binds IgG immune complexes and is involved in several crucial immune functions, including antigen capture, phagocytosis of IgG/antigen complexes, and antibody-dependent cellular cytotoxicity (ADCC). By mediating these processes, CD64 contributes to the activation of innate immune responses and the clearance of immune complexes.

Data Sheets


Human CD64 Protein (C-His-Avi) TDS