Cynomolgus CD25 (C-His)

Product Details


ApplicationELISA, BLI
FormatLiquid, Purified
Expression HostCHO
Target NameIL2RA, CD25, p55, IL2-RA, IL-2-RA
SpeciesCynomolgus monkey
SourcesRecombinant Cynomolgus CD25 (Glu22-Arg213) with C-terminus His-tag is expressed in CHO cell.
Accession NumberP63309 
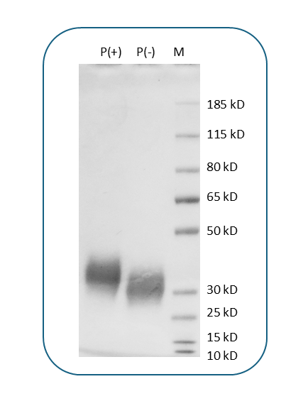
Molecular WeightThe protein has a predicted molecular weight of 23.5 kDa. Under DTT-reducing conditions, it migrates at approximately 35 kDa on SDS-PAGE.
Affinity TagC-His
Purity>95% based on SDS-PAGE under reducing condition
Regulatory StatusRUO
Formulation1xPBS buffer, pH7.4, 0.22 µm filtered
Endotoxin levelNot tested
Protein Concentration25µg size is bottled at 0.2mg/mL concentration. 100 µg size is supplied at a lot-specific concentration.
Storage and HandlingBriefly centrifuge the vial upon receipt. An unopened vial can be stored at 4°C for up to 2 weeks, or at -20°C or below for up to six months. The protein may be further diluted to 0.1 mg/mL using 0.22 µm-filtered PBS buffer (pH 7.4). For long-term storage, the diluted stock solution should be aliquoted and stored at ≤ –70°C to minimize freeze-thaw cycles. If additional dilution is required, carrier proteins such as FBS or BSA should be added to maintain protein stability.

Background Information


CD25, or IL-2 receptor alpha chain (IL2RA), is a type I transmembrane glycoprotein expressed on activated T cells and regulatory T cells. It binds IL-2 with low affinity on its own but forms a high-affinity receptor complex with the IL-2 receptor beta and gamma chains, triggering intracellular signaling pathways like MAPK and JAK/STAT. While CD25 is considered an activation marker on dendritic cells, they do not express the beta-chain necessary for IL-2 signaling. CD25 is involved in immune responses and is linked to autoimmune diseases like type 1 diabetes (T1D). Additionally, elevated soluble IL-2 receptor alpha (sIL-2Ralpha) levels are found in hematological malignancies, such as leukemias and lymphomas, as well as solid tumors, including melanoma and carcinomas of the kidney, head and neck, esophagus, and lung, reflecting tumor burden and activity.

Data Sheets


Cynomolgus CD25 (C-His) TDS