Rhesus PD-L1 (C-His)

Product Details


ApplicationELISA, BLI
FormatLiquid, Purified
Expression HostCHO
Target NamePD-L1, CD274, B7-H1, PDCD1L1, PDCD1LG1
SpeciesRhesus monkey
SourcesRecombinant Rhesus PD-L1 (Phe19-Arg238) with C-terminus His-tag is expressed in CHO cell.
Accession NumberF6VEW6
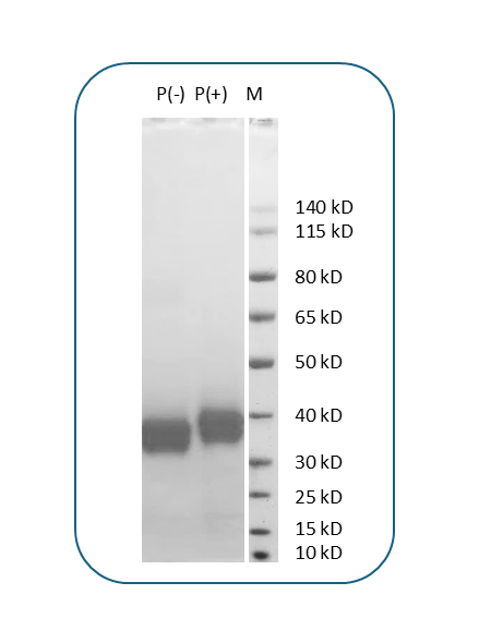
Molecular WeightThe protein has a predicted molecular weight of 26.8 kDa. Under DTT-reducing conditions, it migrates at approximately 30 kDa on SDS-PAGE.
Affinity TagC-His
Purity>95% based on SDS-PAGE under reducing condition
Regulatory StatusRUO
Formulation1xPBS buffer, pH7.4, 0.22 µm filtered
Endotoxin levelNot tested
Protein Concentration25µg size is bottled at 0.2mg/mL concentration. 100 µg size is supplied at a lot-specific concentration.
Storage and HandlingBriefly centrifuge the vial upon receipt. An unopened vial can be stored at 4°C for up to 2 weeks, or at -20°C or below for up to six months. The protein may be further diluted to 0.1 mg/mL using 0.22 µm-filtered PBS buffer (pH 7.4). For long-term storage, the diluted stock solution should be aliquoted and stored at ≤ –70°C to minimize freeze-thaw cycles. If additional dilution is required, carrier proteins such as FBS or BSA should be added to maintain protein stability.

Background Information


Programmed death-1 ligand-1 (PD-L1, CD274, B7-H1) is an immune regulatory protein that interacts with the PD-1 receptor, playing a critical role in controlling immune responses and maintaining peripheral tolerance. Part of the B7 family, PD-L1 contains one V-like and one C-like Ig domain in its extracellular region. By binding to PD-1 on activated T-cells and B-cells, PD-L1 inhibits T-cell activation, promoting apoptosis and cell-cycle arrest, which can suppress ongoing immune responses. This mechanism is implicated in immune evasion by tumors, as PD-L1 helps tumors escape detection by inducing apoptosis in antigen-specific T-cells, contributing to tumor growth. Due to its pivotal role in immune regulation, PD-L1 has emerged as a promising therapeutic target for treating autoimmune diseases and malignancies.

Data Sheets


Rhesus PD-L1 (C-His) TDS